네이처 파트너저널에 출판된 'AI기반 흉부 X-ray 진단' 논문 소개

의료 인공지능(AI) 플랫폼 전문기업 딥노이드(대표이사 최우식)는 자사 연구팀이 쓴 'AI알고리즘을 통한 흉부 X-Ray진단 논문'과 'AI기반 척추 의료영상 판독 및 심시연계' 초록을 '2022 미국 시카고 방사선 의료기기 전시회(Radiological Society of North America, RSNA)'에서 전 세계 의료진을 대상으로 발표한다고 22일 밝혔다.
딥노이드 연구팀이 RSNA 2022에서 발표하는 논문은 네이처 파트너 저널(NPJ)에도 승인 받은 논문이다.
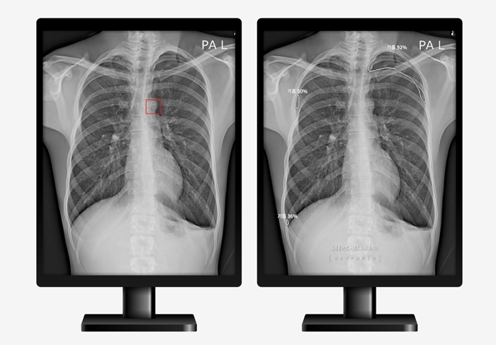
이 논문은 AI가 의사를 도와 사람의 흉부 엑스레이(X-ray) 영상에서 이상 부위를 검출해 질환 진단 결정을 보조하는 딥체스트(DEEP:CHEST)를 고도화시켜 유용성을 검증한 AI 기반 흉부 영상진단서비스와 관련된 내용이다.
회사 측은 이번 논문을 통해 일반적으로 질환에 대한 탐지뿐만 아니라 질환의 정확한 위치 정보까지도 진단결과에 포함한 것에서 기존 진단 보조 제품들과는 차별화를 뒀다고 밝혔다.
최우식 대표는 "의료현장에서 폐질환 진료를 좀 더 효과적으로 진단할 수 있는 동시에 질환의 위치까지 한 번에 제공해 잠재적인 질환까지 도 체크할 수 있는 기회가 됐다"고 말했다.
한편, 지난 1915년 설립돼 올해 108회재를 맞이한 RSNA는 북미 최대이자 글로벌 최대규모의 영상의학회로 매년 미국 시카고에서 영상의료기기에 대한 최신 트렌드와 신기술을 공유하는 행사로 개최되고 있다.
출처 : 메디파나뉴스
'의료기기 정보' 카테고리의 다른 글
| 늘어나는 의료기기 소모품 매출에…미용 의료기기 업계 '방긋' (0) | 2022.11.23 |
|---|---|
| 유한 133억, 이노엔 30억...제약, 신규 외부투자 활발 (1) | 2022.11.22 |
| 씨알에스큐브, 누적 임상시험 과제 4,000건 돌파 (0) | 2022.11.22 |
| "신장신경차단술, 저항성고혈압 환자에게 분명한 치료 옵션 될 것" (0) | 2022.11.22 |
| 'MEDICA 2022'서 한국기업 313개, 역대 최다 기업 참가 (0) | 2022.11.22 |